Alzheimer's continues to be the most discussed topic for long periods as it gains prominence among both medical and mental health professionals. It has been regarded as a brain-declining disease that can cause forgetfulness, impaired cognitive abilities, and abnormal functioning. Since the prevalence of such conditions, no evidence of scientifically proven solutions has been found, and only limited medications can handle symptoms to a certain extent. The discovery of vaccines and advanced therapies can prevent such diseases from occurring altogether in the first place.
Alzheimer’s Disease: Key Insights and Challenges
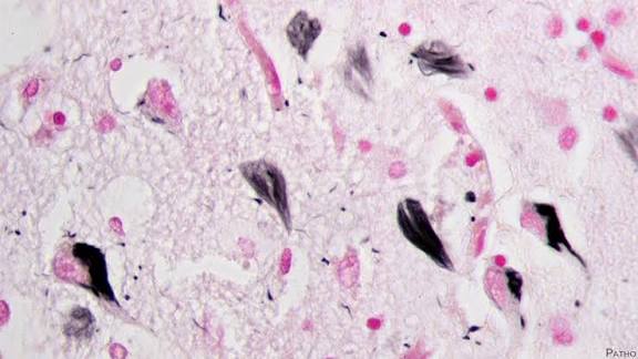
Alzheimer's is indicated by the presence of amyloid beta plaques and tau protein tangles in the brain that are responsible for disturbing the communication between brain cells and generating inflammation that can disrupt cell growth. Commonly used medications such as donepezil, cholinesterase inhibitors, and memantine lessen the severity of the symptoms, such as memory loss and decreasing concentration, that could hinder the development of the disease. 
Immunotherapy: Guiding the Body’s Natural Defenses
Immunotherapy makes a monumental contribution towards the prevention of Alzheimer’s disease by activating antibodies such as monoclonal, lecanemab, and donanemab to identify and decrease amyloid production as verified through clinical trials. Such therapeutic interventions transfer the antibodies directly or boost the body to make its own. Anti-tau antibodies also weaken the tau accumulations and stop further neural transmission. These therapies may not be cost-effective and can increase the risk of brain swelling.
Also read: Relationship between anxiety and dementia 
Vaccines: Guiding the Immune System to Target Alzheimer’s
❖ Amyloid-beta Vaccines: These recently developed vaccines are known for their lower risk and more directed immune response. They tend to block plaque origination or facilitate its removal before any widespread brain injury occurs.
❖ Tau Vaccines: Such vaccines tend to hinder the process of degeneration of nerve cells more quickly, as such tau proteins are related to rapid cognitive decline. Examples: UB-311 and AADvac1. 
Innovative Solutions: Beyond Vaccines and Antibodies
❖ Gene Therapy: Altering genes connected with Alzheimer's risk or protein development can help in repairing existing deformities.
❖ Small Molecule Drugs: Such drugs inhibit the body's chemical helpers or mechanisms involved in protein synthesis and can offer effective treatment options.
❖ Digital Biomarkers and AI: Early and precise detection by making use of AI-analyzed data of imaging, speech, and cognitive processing can promote rapid implementation of measures.
❖ Stem Cell Therapy: Reconstructing damaged neurons or promoting brain repair pathways through stem cells is still undergoing experimental testing.

Conclusion
Alzheimer's disease hampers an individual's quality of life and affects their important cognitive functions that help them to make better judgments of situations. The innovation of new therapies and vaccines can reduce its progression, and making changes in daily life, such as adopting diets that are rich in berries and leafy greens, improving quality of sleep, and increasing physical activity for healthy blood flow, can speed up metabolism for lowering sugar levels and blood pressure. A tailored treatment plan based on medical history, using technological advances and collaboration among experts from different disciplines, can become an effective approach for individuals dealingwith dementia risk.